home
潜伏在夜间的杀手养生课堂

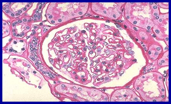
脑肝肾综合征主要是由什么原因引起的

2013/6/7 [ ]

本病多为同胞发病,患者父母均正常。未发现异常核型,故认为本病的遗传方式为常染色体隐性遗传。

本病的发病机理未明。有人认为是由于胎盘铁转运功能障碍。

病理组织学检查可见脑组织异常,有嗜苏丹性脑白质营养不良;肝硬化,肝内胆和这发育不良;多囊肾;动脉导管未闭、卵圆孔未闭等心脏畸形;肺不张及含铁血黄素沉着;胰岛细胞增生,胸腺发育不良。

责任编辑:editor4
  • 养生

养生节目

进入>>

机构免费加入

热点问题

更多>>

居家养老:起步13年仍在摸索中

所谓居家养老,是立足家庭,依托社区,借助养老服务组织专业化服务,通过上门或日托照料形式,为老年人提供以助餐、助洁、助急、助浴、助行、助医等“六助”为主要内容的社区居家养老服务。 [详情]
居家养老:起步13年仍在摸索中

明星机构访谈

更多>>

明星养老机构访谈申请条件

明星机构访谈是针对热衷养老产业,对养老行业及其发展具备敏锐的洞察力和深入了解且具有一定影响力的养老领域资深人士进行采访交谈的专业平台。 [详情]
明星养老机构访谈申请条件

关于中华养老网

养老产业招商

城市产业招商

联系我们 |刊登广告 |平台介绍 |关于我们 |豁免条款 |招聘信息 |隐私保护 |版权申明