
(一)发病原因
肠性脂质营养不良早先在淋巴结的组织切片上,用银染色法发现有“杆状菌”,但直至1960~1961年才在电镜下搞清此独特细菌的结构特征,大小为0.25µm(1.0~2.0)µm,该菌有易招致以吞噬细胞为特点的炎症反应。此后,人们一直设法在体外对该菌进行培养及分离,终于于2000年Raoult D等报道获得成功。1992年Relman等报告从5例患者组织中,用聚合酶链反应(PCR),从杆菌发现了一段由1321个碱基组成的16S核糖颗粒的rRNA,经种系基因分析,认为该菌为革兰染色阳性放射线菌,与任何其他已知菌的基因无关。初步认为此菌属于放线菌属的一个亚组,是一种放线杆菌(actinobacter),并暂时命名为Trophelyma whipplelii。另外,惠普尔病多半与HLA-B27有相关性。
(二)发病机制
T.Whipplelii菌侵入人体组织后,毒性较弱,故毒性损害较少,但能导致大量的吞噬细胞聚集,由于细菌及巨噬细胞的广泛浸润而出现临床症状。惠普尔病患者对于T.Whipplelii菌的易感性,可能与免疫缺陷有关。常继发于营养不良、小肠淋巴回流受阻抑或暂时性传染无反应;患者也可能对该菌免疫耐受,表现为体内单核细胞系统对摄人的抗原处理能力缺陷而致病。惠普尔病患者肠黏膜固有层中IgA浆细胞减少,治疗后患者的泡沫巨噬细胞减少,但IgA浆细胞数量恢复正常,表明在感染期间,IgA浆细胞移位或受抑制。细胞介导的免疫反应在惠普尔病中亦可能起重要作用,如外周血T淋巴细胞的应答性减低,小肠免疫反应的免疫化学研究显示,上皮内淋巴细胞数量增多,CD4/CD8比值增加,小肠巨噬细胞有缺陷。惠普尔病患者出现皮肤反应力过低,其他组织中淋巴细胞相对减少,单核细胞吞噬作用减低,降解细菌的能力减弱,CDllb表达细胞减少,提示有单核细胞和T淋巴细胞功能障碍。Marth等发现惠普尔病患者单核细胞产生白介素1 2、T细胞产生γ干扰素减少,体外试验发现用白介素12逆转的γ干扰素产生减少。这些资料支持这样一种假说:惠普尔病主要与单核细胞白介素12产生缺陷,导致T细胞产生γ干扰素减少有关。因此,干扰素可能对复发的惠普尔病患者有效,但需进一步证实。
惠普尔病的病理改变极具特征性,因而组织学检查常常是必要的。
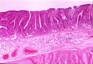
1.小肠病变 病变多见于十二指肠及空肠,而远端小肠较少,胃和结肠很少波及。病变肠壁水肿、增厚,小肠绒毛变粗、变短或完全消失,极少有溃疡。黏膜下各层皆可见黄色脂质沉积,淋巴管有阻塞及扩张,组织学特征性变化是小肠黏膜PAS阳性巨噬细胞和黏膜下淋巴管扩张。黏膜固有层因大量泡沫巨噬细胞浸润,致绒毛增粗变形。Black Schaffe首先证实这种特有的泡沫巨噬细胞内含有一种PAS浓染的糖蛋白。由于这些巨噬细胞移位,患者黏膜固有层中浆细胞、淋巴细胞和嗜酸性细胞减少。
2.肠外病变 除小肠黏膜外,在心、肺、脾、胰、食管、胃、后腹膜以及全身淋巴结均可侵犯,是一种全身性疾病。全身组织均可见到PAS阳性巨噬细胞。如引起心内膜炎、关节腔积液、胸膜炎、脑皮质萎缩、脑膜炎等。肝、脾包膜变厚。可有腹水,并呈乳糜性。
值得注意的是,凡仅胃、结肠黏膜见到PAS阳性巨噬细胞。并非属惠普尔病,因为该区域常有噬蛋白细胞及胃噬脂细胞。经治疗后,细菌消失快,但巨噬细胞消失慢。治疗一年后仍有明显的巨噬细胞浸润。神经病理主要表现为丘脑下部萎缩、胶质变性和镰状颗粒浸润,在腹内侧核浸润最严重,视前叶、室上束交叉部、背内侧核和室旁核浸润较轻。在电镜下,浸润部位可见“杆状菌”。