
1、疾病病因
附红细胞体是寄生于人、畜红细胞表面、血浆和骨髓中的一群微生物,也称血虫体,简称附红体。在一般涂片标本中观察,无细胞壁,无明显的细胞核、细胞器,无鞭毛,属原核生物。其形态为多形性,如球形、盘形、哑铃形、球拍形及逗号形等。大小波动较大,寄生在人、牛、绵羊及啮齿类中的附红体直径约为0.3~0.8μm,而寄生在猪体中的附红体直径为0.8~1.5μm,最大可达2.5μm 。附红细胞体对宿主的选择并不严格,人、牛、猪、羊等多种动物均可感染,且感染率比较高。到目前为止已发现附红体属有14个种,其中主要为五种:
绵羊附红体(E.ovis):寄生于绵羊、鹿类中;
猪附红体(E.suis):寄生于猪;
球状附红体(E.coccoides):寄生于鼠类及兔类等啮齿类动物中;
温氏附红体(E.wenyonii):寄生于牛;
短小附红体(E.parvum):是家猪非致病性的寄生菌附红体的抵抗力不强,在60℃水浴中1min后即停止运动,100℃水浴中1min全部灭活。对常用消毒药物一般很敏感,可迅速将其杀灭,但在低温冷冻条件下可存活数年之久。
附红体感染人畜分布很广,迄今已有美国、南非、阿尔及利亚、肯尼亚、伊朗、法国、挪威、英国、芬兰、澳大利亚、前苏联、日本、荷兰、马达加斯加、葡萄牙、尼日利亚、西班牙、奥地利、比利时、印度、以色列、朝鲜、新西兰、埃及和中国等近30 个国家和地区均有报告。
我国曾对9 省区16 个地区的人群作附红体调查表明,人群平均感染率为53%,与性别、年龄及职业无明显关系。发现有生理变化(如孕妇)和患有慢性疾病者其感染率明显高于健康人群。据调查在家畜中被附红体感染有一定的季节性,以5~8 月份为其感染高峰。
2、发病机制
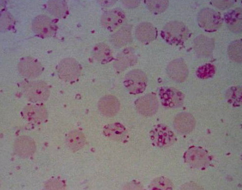
附红体毒力较低,致病性不强。对附红体进行电镜观察,发现其主要寄生在成熟红细胞表面,不进入细胞内,少量游离在血浆中。不但发现大型的附红体上有纤丝扒嵌在红细胞膜上,红细胞膜上可能存在与纤丝相结合的受体。而且从电镜下见到寄生附红体的红细胞膜发生改变,其上的凹陷与洞易致血浆成分进入红细胞内,使红细胞肿胀、破裂,发生溶血。而且从活体标本中观察到被寄生的红细胞,其可塑性、变形性功能消失,在通过单核吞噬细胞系统时也易被破坏而溶血。
上述两点主要机制说明本病溶血性贫血的发生存在血管内溶血和血管外溶血。还有认为溶血可能与红细胞膜结构改变,或隐蔽性抗原的暴露等诱导产生IgM自体抗体,即第Ⅱ型变态反应有关。