
(一)发病原因
一般认为,短波长和高频率的X线或γ射线照射有足够能量使吸收射线的组织产生离子化,后者产生带电荷的分子或原子,进而引起活细胞的损伤。过去使用的千伏X线外照射常损伤皮肤,而近代使用的高能射线虽损伤皮肤较轻,但是损伤肠道的危险性有所增加。随着经验的积累,人们认识到,放射性肠道损伤,尤其是结肠和直肠损伤,是严重的并发症。
(二)发病机制
影响放射损伤的因素有:
1.照射剂量与治疗间隔时间 虽然放射线总剂量与急性放射损伤发生率之间有直接关系,但更重要的是同一部位每次接受的剂量以及每次放疗之间的间隔时间。每次剂量越大,间隔越短,健康细胞遭受的损伤就越重,在新的损伤产生之前修复已形成的损伤的可能性也就越小。
2.照射范围 另外,放射线引起的肠壁损伤还与被照射肠管的范围有关,在同等剂量下,范围愈小,发生放射性肠炎的可能性愈少。
3.照射机会与效应的增加 在临床上,有些因素可以增加放射线损伤的危险性。这些因素或者通过增加正常组织的受照射机会,或者通过增加放射线的效应,使产生放射性损伤的可能性增加。例如,瘦弱的老年妇女,保护自身免受放射损伤的软组织较少,因而照射部位正常组织受照射的剂量相应增加,发生放射线损伤的可能性也增大。在既往有过腹部或盆腔手术史的病人,由于肠管与盆腔的黏着,使被黏着肠管相对固定,不能够随体位的变化而变化,在进行盆腔放疗时难以避开照射野,接受射线的量增大,发生放射性肠炎的可能性也就明显较无腹部手术史的病人要多。另外,可以加重放射线损伤的因素还包括心血管疾病和化疗药物等。患有血管闭塞性疾病的病人在接受放射治疗后,肠壁血管可以进一步发生闭塞,加重缺血,使发生肠壁损伤的机会明显增加。行放疗时伴有高血压、糖尿病和心血管病的患者后 来发生放射性肠炎的机会也明显增多。虽然在放疗的同时应用化疗药物可以提高治疗效果,但也同时可以增加化疗和放疗对组织的损伤机会。
放射性肠炎的发生部位主要取决于原发肿瘤部位或放疗部位。由于盆腔是腹部放射治疗中最多采用的部位,加之直肠的移动性差,70%~90%的放射性肠炎发生于直肠。移动性较大的结肠,如盲肠、乙状结肠和横结肠在放疗时可坠入盆腔,进入放射野,也可伴发放射性结肠炎。而比较固定的结肠部分如升、降结肠,极少发生。另外,25%~30%的病人伴有小肠放射性肠炎,尤其是以往有腹部或盆腔手术史,小肠与盆肠有粘连的病人发生率更高。
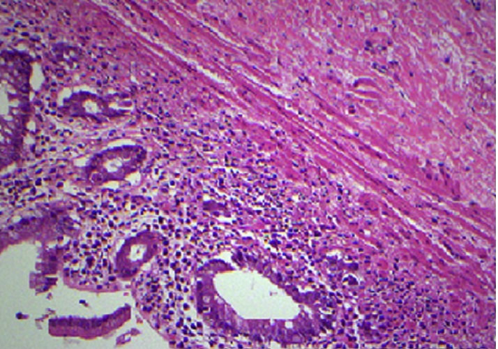
放射线对肠壁的损伤作用有直接和间接两种方式,在组织病理学上通常可分为3个时期,即急性期、亚急性期和慢性期。急性期发生在放疗后早期,亚急性期发生在放疗后2~12个月,慢性期发生在12个月以后。
(1)急性期损伤:是放射线通过直接引起肠黏膜上皮细胞的再生障碍导致的肠壁损伤,在代谢旺盛、有丝分裂活跃的细胞表现的最为明显,尤其是肠黏膜基底部的隐窝细胞和黏膜上皮细胞。黏膜的完整性依赖于对脱落上皮细胞的不断的更新,在非照射区域绒毛上皮的正常更新一般需要5~6天。当由于放射损伤引起的肠黏膜上皮的脱落速度超过隐窝细胞产生的速度,黏膜上皮再生系统的平衡即被破坏,脱落的上皮细胞不能够被有效的补充,结果就会出现肠黏膜腐脱(sloughing),肠壁绒毛变短,上皮表层区域变小。当细胞更新系统进一步受到损伤,就会形成微小溃疡,随着时间的推移,微小溃疡相互融合,可以形成肉眼可见的溃疡。同时,黏膜下发生一系列病理生理变化,出现水肿、炎性细胞浸润以及毛细血管扩张等,并引起肠黏膜对液体和营养物质的吸收障碍,黏液的过量分泌,甚至引起出血。急性期的变化常常引起自限性临床症状,例如腹痛、黏液性腹泻、里急后重和直肠出血等。该期常在放疗开始后3~4周达到高峰,然后逐渐消退。
(2)亚急性期损伤:此时肠黏膜可能已再生,并有不同程度的愈合。再生程度取决于起初结缔组织损伤的严重性。黏膜下小动脉的内皮细胞可发生肿胀,并与基底膜分离和发生变性,腔内可有血栓形成。进行性血管和结缔组织的病变可以造成闭塞性动、静脉炎和微血管功能不全。位于纤维结缔组织之上的黏膜可因斑片状缺血而产生溃疡。在血管内膜下可见到较大的泡沫细胞,有人认为这是诊断放射性肠炎的要点。黏膜下层因缺血性纤维化而增厚,并常出现大的巨怪形状的成纤维细胞。
(3)慢性期损伤:与急性损伤相比,放射线引起的肠道慢性损伤具有更加明显的隐匿性和进行性,并引起比较严重的后果。临床症状可以在放疗后持续数周、数月,甚至数年。慢性损伤是由于放射线的间接作用所引起,主要是由于进行性闭塞性末端小动脉炎和广泛的胶原蛋白沉积和纤维化引起。肠壁终末血管损伤和数量的逐渐减少导致肠壁血供的逐渐减少和肠壁缺血。继而在肠壁慢性缺血以及蜂窝织炎引起的黏膜下玻璃样变和纤维化的基础上,出现进行性的黏膜萎缩和黏膜毛细血管扩张。扩张的毛细血管管壁薄弱,可以成为肠道慢性出血的来源。随着血管炎的进行性加重,可以发生肠壁的坏死、溃疡和穿孔。其中溃疡最为常见,可以穿透肌层,并引起腹膜炎或腹腔内脓肿。溃疡的愈合和修复可以导致纤维化和瘢痕形成,引起肠腔狭窄和肠梗阻。部分患者可以形成内瘘或外瘘,但不是很常见。后期也可出现放射线诱发的癌肿。