
(一)发病原因
病因与石棉接触有关,其发病与接触的间隔很长,常在30年以上。早在20世纪40年代,外国学者就发现间皮瘤的发生与石棉接触关系密切。船厂工人、管道工人、焊工及油漆、建筑工人的发病率较一般人高300倍。间皮瘤与石棉接触密切关系已得到了越来越多的事实的证实与公认。与此同时,欧美学者发现,约60%的腹膜间皮瘤病人有职业性石棉接触史或肺组织内有石棉小体,在用石棉诱发的动物胸膜间皮瘤的实验中,也有少数动物发生腹膜间皮瘤,说明腹膜间皮瘤的发生与石棉接触也有一定关系。不同种类的石棉纤维的致病危险性依次为:青石棉>铁石棉>温石棉。一般认为直径0.5~50µm长的石棉粉尘先进入呼吸道,然后经横膈淋巴组织网或血液进入腹腔并沉积在腹膜,形成石棉小体,有时在石棉小体周围可出现异物巨细胞反应。经消化道摄入的石棉纤维也可经肠壁到达腹膜。从接触石棉到发现间皮瘤平均35~40年,发病高峰在接触45年以后。石棉引起间皮瘤的确切机制还不甚清楚。 但约有30%的间皮瘤患者并无石棉接触史,石棉纤维定量检查并未发现有接触大量石棉纤维的表现。文献报道中与间皮瘤发生有关的其他因素有放射治疗、二氧化钍接触史(通常患者有接受相关的诊断性检查史)。另外,具有Hodgkin病史的患者发生间皮瘤的危险性增加。
病毒感染:猿猴病毒(simian virus 40,SV40),它是一种DNA肿瘤病毒。据文献报道,美国大约50%的间皮瘤病人活检标本中存在SV40,它诱导人原发间皮瘤细胞端粒酶活性,但不影响纤维原细胞。野生型SV40感染后72h即可测得端粒酶活性,1周后可见一清晰DNA云梯。在细胞结构中端粒酶活性与SV40 T抗原数量成正比,被SV40感染的间皮细胞,其端粒酶活性增加,使得间皮细胞不易凋亡,而易形成间皮瘤。
间皮瘤还可能与以下因素有关:氟石接触、结核性疤痕、慢性炎症刺激、放射性物质、遗传易感性等。
(二)发病机制
依据其生物学行为及肿瘤侵及范围,间皮瘤可分为良性和恶性、局限性和弥漫性。在大宗间皮瘤的病例报道中,约57.1%发生在胸膜,39.5%发生在腹膜,1%发生在心包,可以累及多个浆膜面,甚至发生在睾丸的鞘膜。
1.间皮瘤的组织发生学 早期认为是来自两种细胞,即腹膜面的间皮细胞及结缔组织细胞。最近已经证实是来自单一细胞,即间皮细胞。间皮细胞向上皮细胞及纤维细胞呈两种形态分化。Dardick(1984)发现间皮瘤中的肉瘤样区域,超微结构并不显示成纤维细胞的特点,而显示不同分化阶段的上皮细胞的特征。Blobel采用免疫组织化学方法证明细胞角蛋白多肽(cytokeratin polypeptide)在纤维性间皮瘤及上皮性间皮瘤均有表达。而波状纤维蛋白(fibrin),在同一个肿瘤或相同的细胞内也同时表达,显示间皮瘤的双向表达特点。
2.腹膜间皮瘤可分为低度恶性囊性间皮瘤、高分化乳头状间皮瘤及恶性间皮瘤。
(1)低度恶性囊性间皮瘤: 常见于中老年女性,常位于盆腔内并可侵及腹膜外。肿瘤较大,包膜不明显、边界不清,常于周围的盆腔结构粘连。切面为多囊性,内壁光滑,囊内含清亮液体或稀薄黏液。囊壁被覆扁平至低柱状间皮细胞,轻至中度异型,可呈乳头状增生和化生。囊壁纤维性间质增生,其中无明显的慢性炎细胞浸润。
(2)高分化乳头状间皮瘤: 不常见,偶于手术中发现,好发于育龄妇女。预后一般良好,偶可发展为恶性间皮瘤。肉眼可见盆腔腹膜和网膜呈现多个乳头状或结节状病变,实性,灰白色,直径<2cm。肿瘤也可发生于胃、肠和肠系膜的腹膜。镜下肿瘤性乳头表面被覆单层扁平至立方形间皮细胞,胞核无异型,罕见核分裂象,细胞质中轴为纤维性间质。肿瘤中可见由间皮细胞形成的小管、分枝状条索或实性片块,偶见砂粒体。
(3)恶性间皮瘤: 肿瘤呈单个或多个分散生长,同时累及脏层和壁层腹膜,按形态可分为弥漫型和局限型。局限型恶性间皮瘤,边界清楚,带蒂或有包膜,质地坚韧,恶性程度较低。弥漫型恶性间皮瘤,受累腹膜弥漫性增厚,表面呈乳头状、斑块状或结节状,恶性程度高。大体所见,腹膜表面广泛分布着大小不等的肿瘤结节,孤立状、串珠状或呈簇状团块,直径从几毫米到几厘米,呈黄白色或灰白色,较硬,似橡皮样质地。晚期腹膜明显增厚,腹膜被致密白色的肿瘤组织覆盖,使脏器变成“冰冻”(frozen)状态。肿瘤组织与腹腔脏器特别是消化道相互粘连成一体,不易分离,或在腹腔脏器腹膜表面有多个结节性肿物呈葡萄状,或弥漫分布于腹腔膈肌腹膜面、后腹膜表面以及网膜、肠系膜、小肠及结肠浆膜面或肝、膀胱表面等。有时多个结节融合成肿块。
腹膜间皮细胞瘤的大体病理观 腹膜间皮细胞瘤大体观察类似于胸膜间皮瘤,有2种类型,即弥漫性腹膜间皮细胞瘤与局限性腹膜间皮细胞瘤,一般说来,弥漫性间皮瘤75%为恶性,而局限性间皮瘤多为良性。前者瘤组织呈众多小结节或斑块被覆于腹膜的壁层或脏层,随着肿瘤的发展,则呈片块状的增厚,广泛铺盖于壁层腹膜或腹腔脏器的表面,可伴有大小不等的肿瘤或结节。肿瘤组织多呈灰白色,质地坚韧,亦可呈胶冻状,可有出血及坏死。瘤组织中,纤维组织增生,甚至有玻璃样变。瘤组织可侵入肝脏或肠管,但很少侵入脏器的深部,大网膜可完全被肿瘤组织所代替,肠管可发生粘连,腹腔内有渗出液,甚至血性腹水。在局限性腹膜间皮细胞瘤,瘤组织呈结节状或斑块状位于腹膜壁层或脏层,呈灰白色,质地较硬,界限清楚,很少出血及坏死。
3.腹膜间皮细胞瘤镜下观察 腹膜间皮细胞瘤一般有3种组织学类型:
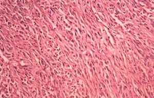
(1)纤维性间皮瘤:纤维性间皮瘤瘤细胞由梭形细胞组成,细胞呈长梭形,伴有多少不等的胶原纤维,这种类型多见于局限性间皮瘤。在纤维性间皮瘤有时很难与纤维组织肿瘤相区别,瘤细胞呈梭形,细胞周围可有胶原化,甚至可有编织状结构,局灶性钙化或骨化,当间质有明显的纤维化或玻璃样变时,有人称它为韧带样间皮瘤。最近亦有人将来自间皮下的结缔组织来源的肿瘤称为腹膜纤维瘤。来自表层间皮细胞的才称纤维性间皮瘤。但单纯根据组织形态,有时难以将两者区别开来。
(2)上皮样间皮瘤:上皮样间皮瘤瘤细胞呈立方形或多角形,常有脉管状或乳头状结构。上皮性间皮瘤最多见于弥漫性间皮瘤中,瘤细胞呈不同的分化状态,可形成高分化管状或乳头状结构,也可呈未分化的片块状瘤组织,瘤细胞大小不一,呈实性,为结缔组织所包绕。管状乳头状结构的瘤组织构成腺样、管状或者囊性,内衬以立方或扁平的上皮样细胞,细胞大小一致,空泡状核,可见1~2个核仁。胞浆丰富,细胞轮廓清楚。肿瘤亦可呈裂隙状或形成大小不等的囊腔,内衬以扁平的上皮细胞,这些裂隙内有时可见乳头状突起。类似乳头状腺癌。有些病例,瘤细胞排列成实性、条索状或者巢状,无腺样或乳头状结构。但有时瘤组织周围可有黏液物质,形成类似黏液湖的结构。细胞形态比较一致,核大小不一,胞浆内时有空泡形成,含有黏多糖类物质。
(3)混合性间皮瘤:又称双向分化的间皮瘤,在同一个肿瘤内伴有纤维及上皮2种成分。Zllzllki(1980)报道的210例弥漫性恶性间皮瘤中,上皮样占67%,混合性占26%,纤维性占7%,后者最常见于局限性间皮瘤以内。混合型间皮瘤瘤组织由上皮样细胞及肉瘤样成分组成,形态类似滑膜肉瘤。肉瘤样成分由梭形细胞组成,它与上皮成分常有过渡形式,因而可显示,间皮瘤是由单一种细胞来源的,与石棉有关的间皮瘤中常见到这种形式。黏液染色对鉴别腺癌与间皮瘤有帮助,但腺癌分化较低时,黏液染色也可阴性。而间皮瘤的瘤细胞的Alcianblue染色也可显示阳性,而且这类黏液也可见于细胞外的间质中。网状纤维染色可见瘤细胞间有丰富的网状纤维,对区别于腺癌有帮助。当肿瘤中发现石棉小体(asbestosbody)时,对诊断间皮瘤有帮助,特别是胸膜间皮瘤。由于石棉与肺腺癌的发生亦有关系,故发现石棉小体只有参考意义。
4.腹膜间皮细胞瘤超微结构 电镜技术特别是透射电镜技术,对诊断间皮肿瘤有极高的价值。其超微结构的特点是:间皮瘤的瘤细胞有众多的、细长的、刷样的微绒毛出现在瘤细胞的表面,但也可出现在细胞质内。但是在腺癌的微绒毛,数量较少,短棒状。间皮瘤的细胞内有巨大的细胞核、突出的核仁,中等量的线粒体被粗面内质网所包绕,常见糖原颗粒,成束的张力原纤维及细胞内空泡。滑面内质网不太发达。细胞外有基板,但多数不太完整。细胞间有连接,也可见桥粒。这些超微结构特点,主要见于上皮细胞性间皮瘤或混合性间皮瘤中。而纤维性间皮瘤,超微结构类似成纤维细胞,在梭形的瘤细胞中,有丰富的粗面内质网,偶见细胞间的微小腔隙以及微绒毛。
5.腹膜间皮细胞瘤免疫组织化学 免疫组织化学对鉴别间皮瘤与腺癌有一定帮助。细胞角蛋白(cytokeratin)在间皮瘤显示阳性,而CEA为阴性或弱阳性;腺癌CEA多为强阳性,而角蛋白(keratin)常为局灶阳性或者阴性。但是由于种种原因,文献中对于免疫组织化学在鉴别间皮瘤与腺癌的报道中,各有不同的结果。因此,不能单纯依此做出最后结论,必须综合其他技术做出客观的诊断。某些间皮瘤的病人,伴有代谢性疾患,如血糖减少症等。偶见局限性腹膜间皮细胞瘤可呈多囊性,内衬有单层立方或扁平上皮,囊内含有透明的液体。
间皮瘤细胞电镜及酶组化特征:间皮瘤主要由上皮样细胞(epithelioid cell,EC),纤维母细胞样细胞(fibroblast-like cell,FLC),中间型细胞(interim cell,IC)及原始间叶细胞(primary mesenchymal cell,PMC)4种细胞组成。EC以丰富的微绒毛为特点,细胞表面有细长的微绒毛,其长径与宽径比例达10∶1~15∶1,这远远大于其他腺癌的比例,几个瘤细胞间围绕呈窦样隙,其内有许多细长的微绒毛交错在一起,FLC中粗面型内质网较多。EC脱氢酶及氧化酶活性较高,而水解酶活性较低。FLC细胞酶活性则与EC相反。这可能与两种类型细胞的功能活性不同有关。
间皮瘤的免疫组织化学特征:由于原始间叶细胞会直接或通过中间型细胞向上皮样细胞分化,也可直接分化为纤维型细胞,因而间皮瘤的免疫组化染色复杂,各种类型的间皮瘤细胞免疫组化特征。
由表中可以看出,间皮瘤对各种免疫组织化学反应的表达情况不一,其阳性表达与阴性结果均不是100%。因此对某些腹腔肿瘤,特别是卵巢浆液性乳头状囊腺癌与上皮性间皮瘤的腺管、乳头状结构很难鉴别。前者对癌胚抗原只有2%的表达,而对上皮膜抗原及人乳脂球蛋白却有较高的表达百分率,所以利用上述免疫组织化学染色很难将两者区别开来。最近应用Ber-Ep4抗体能对恶性间皮瘤及腺癌进行鉴别,Ber-Ep4对腹腔和腹膜后腺癌以及腹膜转移性腺癌的阳性表达率为100%,而对115例间皮瘤仅有1例表达(占0.87%)。因此,利用免疫组织化学染色综合分析,可对间皮瘤作出正确的病理诊断,如有条件进行电镜检查就更加完善。