
(一)发病原因
病原:
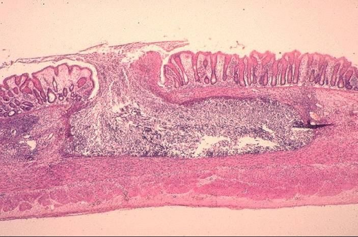
(1)分型 阿米巴分迪斯帕分内阿米巴(Entamoeba dispar)和溶组织内阿米巴(Entamoeba histolytica)两种病株,其中溶组织内阿米巴具有致病性,是引起阿米巴脓肿的病原体。溶组织内阿米巴有滋养体及包囊两期。滋养体以往将其分为小滋养体与大滋养体,前者寄生于肠腔中,称为肠腔共栖型滋养体,在某种因素影响下,可使其侵入肠壁,吞噬红细胞转变为大滋养体,称为组织型滋养体,是阿米巴脓肿的致病形态。
(2)形态 滋养体在患者新鲜黏液血便或肝脓肿穿刺液中,均活动活泼,5μm/s,以二分裂法增生,形态变化较大。当其在有症状病人组织中,常含有摄入的红细胞,大小常在20~40μm,甚至50μm,但在肠腔非腹泻粪便中或有菌培养基中,则大小为10~30μm,不含红细胞。滋养体内、外质分界极为明显,借助单一定向的伪足运动。内质内有一个泡状核,呈球形,直径4~7μm,核膜边缘有单层均匀分布、大小一致的核周染色质粒(chromatin granule)。核仁小(仅0.5μm),常居中,周围为纤细丝状结构。溶组织内阿米巴滋养体的形态,通过扫描电镜或透视电镜的观察,发现其细胞膜厚约10nm,外皮为一层绒毛状的糖萼(glycocalyx),胞质内含有无数糖原颗粒和螺旋状排列的核糖体,无典型的线粒体、粗面内质网和高尔基复合体。滋养体表膜上分布有许多丝状突起,有直径0.2~0.4μm圆形的孔,与微胞饮作用(micropinocytosis)有关,在伪足和微饮管口则无这类小孔,此为溶组织内阿米巴滋养体的特征之一。包囊是滋养体在肠腔内形成,但在肠腔以外的脏器或外界不能成囊。在肠腔内滋养体逐渐缩小,停止活动,变成近似球形的包囊前期,以后变成一核包囊,并进行二分裂增生,发育成为四个核的成熟包囊,直径为10~16μm,壁厚125~150nm。
(3)病原体体外培养 目前阿米巴的体外培养已取得无生物培养的成功,为阿米巴的深入研究提供了条件,解决了纯抗原的制备问题。
(二)发病机制
阿米巴肠病患者结肠溃疡中由于滋养体破坏了血管壁,滋养体就会进入到血管中,并随血流进入门静脉到达肝脏,但亦可通过肠壁直接侵入肝脏,或经淋巴系统到达肝内。肝小叶的微静脉起过滤作用,原虫在微V末端留下来,如侵入数量少,宿主健康良好,那么原虫可以被消灭,不造成肝脏任何损害,但如果侵入的原虫多,一部分原虫可以存活下来,存活下来的原虫就可以在肝组织内进行繁殖,由于原虫的大量繁殖,可导致微静脉的栓塞,肝组织发生缺血坏死而形成小脓肿。另一方面原虫可进入周围组织引起肝组织的坏死及肝组织的溶解液化。随时间的延长,脓肿逐步向四周扩大,脓肿脓肿之间发生融合,最终成为临床上可以得到的肝脓肿。由于回盲部和升结肠为阿米巴结肠炎的好发部位,而肝脏右叶接纳的血液恰恰来自盲肠和升结肠,故脓肿得发病部位绝大部分位于肝脏右叶,且尤以右叶顶部居多。
(三)病理改变
因原虫经门静脉血行扩散,故早期以多发性小脓肿较为常见,以后才互相融合而形成单个大脓肿。脓肿中央为一大片坏死区,其脓液为液化的肝组织,呈巧克力酱样,质黏稠或稀薄,有肝腥味,含有溶解和坏死的肝细胞、红细胞、白细胞、脂肪、夏-雷晶体及残余组织。脓液中一般不容易找到阿米巴滋养体,仅约1/3病例在脓液中可找到滋养体,但是可以有脓腔壁上或脓肿的边缘部发现滋养体,而包囊一般是找不到的。脓肿可因不断扩大,逐渐浅表化,以至于向邻近体腔或脏器穿破。
慢性脓肿容易继发细菌感染,如大肠杆菌、葡萄球菌、变形杆菌、产气杆菌及产碱杆菌等。细菌感染后,脓液失去其典型特征,呈黄色或黄绿色,有臭味,并有大量脓细胞,临床上可出现毒血症表现。
诱因:阿米巴肝脓肿发展缓慢,距肠阿米巴病或阿米巴感染后有较长的隐匿期。暴饮暴食足以引起肠道炎症,易于使阿米巴感染变为活动;酗酒以及其他足以使人体抵抗力降低等情况,都可为肝脓肿发生的诱因。阿米巴原虫的再感染可以激发原已存在的感染而引起肝脓肿;肾上腺皮质激素的应用,也能诱发肝脓肿的发生。