home
潜伏在夜间的杀手养生课堂

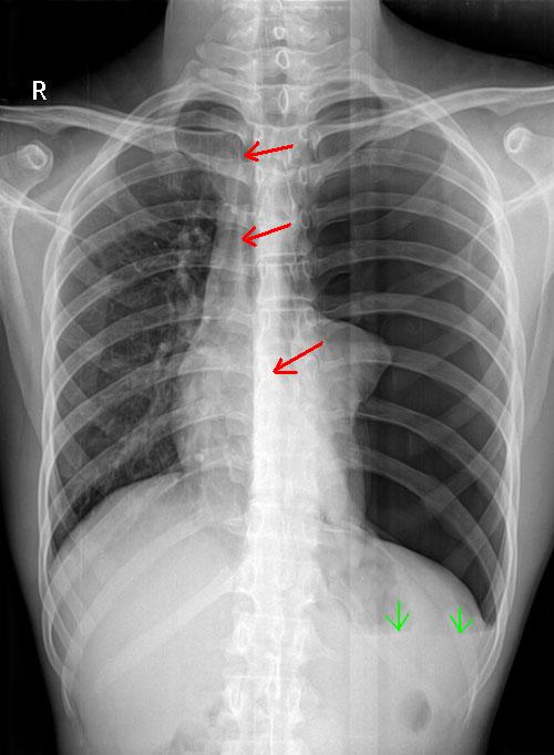
纵隔疝主要是由什么原因引起的

2013/5/8 [ ]

(一)发病原因

常见者如一侧肺大泡、张力性气胸、局限性阻塞性肺气肿、胸腔积液、肺囊肿和肿瘤等;或一侧肺不张、一侧全肺切除术后。也有因一侧胸腔病变产生瘢痕收缩而将健侧胸腔部分肺脏经纵隔结构薄弱区域牵拉进入患侧胸腔的,如见于肺结核纤维化、慢性胸膜炎瘢痕收缩等。

(二)发病机制

纵隔疝产生的原因为两侧胸腔的内压不均等,导致压力较高一侧胸腔内部分肺脏经纵隔结构薄弱区突入压力较低的一侧胸腔内,以恢复两侧胸膜腔内压的平衡。

责任编辑:editor4
  • 养生

养生节目

进入>>

机构免费加入

热点问题

更多>>

居家养老:起步13年仍在摸索中

所谓居家养老,是立足家庭,依托社区,借助养老服务组织专业化服务,通过上门或日托照料形式,为老年人提供以助餐、助洁、助急、助浴、助行、助医等“六助”为主要内容的社区居家养老服务。 [详情]
居家养老:起步13年仍在摸索中

明星机构访谈

更多>>

明星养老机构访谈申请条件

明星机构访谈是针对热衷养老产业,对养老行业及其发展具备敏锐的洞察力和深入了解且具有一定影响力的养老领域资深人士进行采访交谈的专业平台。 [详情]
明星养老机构访谈申请条件

关于中华养老网

养老产业招商

城市产业招商

联系我们 |刊登广告 |平台介绍 |关于我们 |豁免条款 |招聘信息 |隐私保护 |版权申明