
(一)发病原因
自发性气胸的病因构成随着社会和医学的发展而发生着变化。1932年Kjaergarrd报告的自发性气胸的病因多为胸膜下肺大疱。20世纪50年代,结核病成为自发性气胸的常见病因,以后,随着对结核病的有效的药物治疗和流行病学控制,由结核病引起的自发性气胸的发病率有所下降。80年代以后,随着社会人口老年化的进程,老年性慢性阻塞性肺气肿引起的自发性气胸的比率有增多的趋势。同时随着一些特殊社会现象的出现,由获得性免疫缺陷综合征(AIDS)病人患卡氏肺囊虫感染引起的自发性气胸亦有所增加。
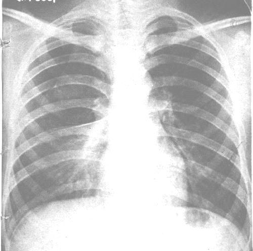
自发性气胸根据造成气体溢入胸膜腔的原因分为:特发性气胸和继发性气胸。特发性气胸多见于青少年,体形瘦高,在X线胸片上甚至在开胸手术直视下,在脏层胸膜表面往往见不到明确的病灶。继发性气胸在中老年人多见,往往由于肺内原有的病灶破裂所致,如肺大疱、肺结核、肺脓肿、肺癌等。气胸病人的临床症状和体征取决于基础病因、肺萎陷的程度以及是否存在基础肺部疾病。
自发性气胸常见的病因如下:
1.胸膜下肺大疱破裂 青少年自发性气胸多因肺尖部胸膜下的肺大疱破裂所致。胸膜下肺大疱大多分为两类,胸膜下微小肺大疱(bleb),直径<1cm,常为多发,可发生于肺尖部、叶间裂边缘及肺下叶边缘。这类微小肺大疱往往是支气管和肺部炎症愈合、纤维组织瘢痕形成过程中牵拉及通气不畅所致。胸膜下微小肺大疱所致的自发性气胸在X线胸片上或手术时不易发现病灶,故亦称为“特发性气胸”。胸膜下肺大疱常为单发,多发生于肺尖部,由于脏层胸膜先天性发育不全,逐渐出现肺大疱,这类自发性气胸常见于瘦高体形的青少年,在手术过程中,除发现肺大疱外,常不能找到与之相关的肺实质内的基础病变。这两类肺大疱破裂引起的自发性气胸可在剧烈活动、咳嗽、喷嚏后诱发,亦可在安静状态下发生。
2.大泡性肺气肿破裂 由于慢性阻塞性肺部疾患使肺泡单位过度充气,久之出现肺泡壁破坏,即小叶中心型肺气肿和全小叶型肺气肿,肺泡进一步融合压迫肺泡间隔和肺间质形成大泡性肺气肿,其特点是在X线胸片和胸部CT片上可见到大泡内有被压的极薄的血管和肺泡间隔,以此与巨大肺大疱鉴别。当肺实质内残气量进一步增加,压力过高引起脏层胸膜破裂就出现气胸。40岁以上的男性多见,常伴有慢性咳嗽、长期吸烟史、支气管哮喘史等。
3.肺结核 20世纪50年代,肺结核是引起自发性气胸很重要的因素之一,其发病机制主要是:①陈旧的结核性瘢痕收缩,造成小支气管扭曲、阻塞,形成局限性肺大疱破裂;②肺的活动性结核空洞直接破裂;③由结核性损毁肺间接引起对侧肺组织代偿性肺气肿,当出现感染、支气管阻塞时,引起其远端肺泡过度膨胀而破裂。20世纪80年代,随着有效的抗结核药物的应用,肺结核的发病率明显降低,由肺结核引起的自发性气胸的发生率亦有明显下降。1988年Beg报道的95例小儿自发性气胸的原因中,肺结核占21%,仅次于化脓性感染。近些年来,结核病的发病率又有上升的趋势,应当注意随之而来的气胸并发症。
4.其他
(1)感染:金黄色葡萄球菌性肺炎和先天性肺囊肿继发感染后破裂是儿童自发性气胸发生的主要原因。随着各种高效抗生素的临床应用,肺脓肿破裂引起的脓气胸已经少见,而肺部真菌感染引起的自发性气胸的报道日渐增多。获得性免疫性缺陷综合征(AIDS)的伴随疾患卡氏肺囊虫性肺炎亦可引起自发性气胸,Beers证明其发病机制可能是广泛的肺间质炎症、肺的囊性蜂窝状组织坏死。
(2)恶性肿瘤:靠近脏层胸膜的癌性空洞破裂入胸膜腔可引起气胸,肺癌引起远端支气管阻塞形成局限性气肿继而破裂。尤其是转移性肉瘤可导致气胸,在儿童中,气胸可以是骨肉瘤肺转移的第1个表现。
(3)月经期自发性气胸:Maurer等在1968年报道了月经期自发性气胸。1972年,Lillingto等把这种气胸命名为月经期气胸。30~40岁人群为发病的高峰期,90%发生在右侧。常在月经开始后48~72h内发生,发生原因可能有:月经期PGF2水平增高,导致肺泡破裂;月经期宫颈黏液栓缺乏,空气通过子宫颈、输卵管和横膈孔进入胸膜腔;胸膜或肺的子宫内膜异位症。
(4)获得性免疫缺陷综合征病人的气胸:获得性免疫缺陷综合征病人的自发性气胸通常发生在卡氏肺囊虫肺炎(PCP)的基础上。患PCP的艾滋病病人,大约有6%发生气胸。卡氏肺囊虫导致坏死性肺炎合并弥漫性胸膜下肺大疱。气胸常常是双侧、顽固、易复发,漏气时间长,保守治疗后复发率高达65%。大约1/3的病人表现为同时或非同时双侧气胸。患PCP的艾滋病病人,若并发气胸,住院死亡率则高达50%,在需要通气支持的病人中,其死亡率接近90%。
(二)发病机制
气胸的发生与病变的肺泡内压骤增有关。一般来说,引起正常肺泡破裂所需的压力为7.8~13.7kPa,而有病变的肺泡和肺大疱所能承受的压力远远小于正常肺泡,所以容易破裂,尤其是在以下这些情况容易发生气胸:①剧烈咳嗽,腹压增高;②呼吸道感染引起局部气管半阻塞状态,气体只能进入远端肺泡,而排出不畅,使受阻远端肺泡内压升高;③哮喘持续状态;④机械通气,气管内持续正压,超过病变肺泡所能承受的压力极限;⑤一些体力活动时突然用力,突然改变体位,打哈欠等。