home
潜伏在夜间的杀手养生课堂

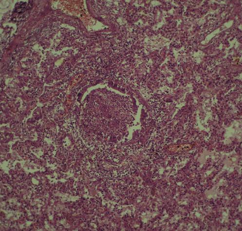
球形肺炎主要是由什么原因引起的

2013/4/27 [ ]

(一)发病原因

有位学者报道,经反复查痰培养,也只有3例得到病原菌 (肺炎链球菌、哈夫尼亚菌及大肠杆菌)。

(二)发病机制

尚不十分清楚。一种说法是患者免疫功能低下,导致外来感染,特别是细菌性感染。亦有说患者的免疫功能尚可,将侵入的感染迅速包围局限并形成圆形。因球形肺炎患者多有基础疾病,且病灶多在上叶后段及下叶背段,又有经气道吸入之说。

如其他肺炎,球形肺炎的病理是炎性渗出及水肿,通过肺泡向周围离心性扩散而致。

责任编辑:editor4
  • 养生

养生节目

进入>>

机构免费加入

热点问题

更多>>

居家养老:起步13年仍在摸索中

所谓居家养老,是立足家庭,依托社区,借助养老服务组织专业化服务,通过上门或日托照料形式,为老年人提供以助餐、助洁、助急、助浴、助行、助医等“六助”为主要内容的社区居家养老服务。 [详情]
居家养老:起步13年仍在摸索中

明星机构访谈

更多>>

明星养老机构访谈申请条件

明星机构访谈是针对热衷养老产业,对养老行业及其发展具备敏锐的洞察力和深入了解且具有一定影响力的养老领域资深人士进行采访交谈的专业平台。 [详情]
明星养老机构访谈申请条件

关于中华养老网

养老产业招商

城市产业招商

联系我们 |刊登广告 |平台介绍 |关于我们 |豁免条款 |招聘信息 |隐私保护 |版权申明