
发病人群和地区:
该病可见于各个年龄段,男多于女,青壮年和室外工作者居多数。免疫力下降或受抑制者较容易感染。本病流行于美国西南部、墨西哥北部、巴拿马、委内瑞拉和阿根廷等国。欧、亚、非洲也有少数报告。
病原体和传播途径:
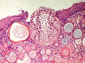
球孢子菌为双相真菌,生活在土壤中,具有极强的感染性.仅仅吸人单个孢子就可引起皮肤试验阳性。人类主要通过吸人土壤中的关节孢子或实验室中培养的孢子而感染,少数也可能通过污染物传播。
发病机制:
球孢子菌菌丝被吸入呼吸道后,在肺泡中繁殖,产生大量的孢子。早期引起中性粒细胞为主的急性炎症反应在孢子发育和形成内生孢子的过程中,组织反应逐渐由急性化脓性炎症过渡到慢性肉芽肿。