home
潜伏在夜间的杀手养生课堂

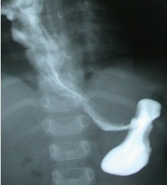
气管食管瘘主要是由什么原因引起的

2013/4/26 [ ]

(一)发病原因

气管食管瘘(tracheoesophageal fistula)系由于先天性胚胎发育异常形成气管与食管间由瘘道相连通所致病。

(二)发病机制

常见气管食管瘘伴食管闭锁,气管发育不全,并有瘘管与食管相通,食管或呈盲端状闭锁,扩大呈囊状,亦见气管-食管瘘不伴食管闭锁,少数病例由支气管与食管相通,形成支气管-食管瘘。

责任编辑:editor4
  • 养生

养生节目

进入>>

机构免费加入

热点问题

更多>>

居家养老:起步13年仍在摸索中

所谓居家养老,是立足家庭,依托社区,借助养老服务组织专业化服务,通过上门或日托照料形式,为老年人提供以助餐、助洁、助急、助浴、助行、助医等“六助”为主要内容的社区居家养老服务。 [详情]
居家养老:起步13年仍在摸索中

明星机构访谈

更多>>

明星养老机构访谈申请条件

明星机构访谈是针对热衷养老产业,对养老行业及其发展具备敏锐的洞察力和深入了解且具有一定影响力的养老领域资深人士进行采访交谈的专业平台。 [详情]
明星养老机构访谈申请条件

关于中华养老网

养老产业招商

城市产业招商

联系我们 |刊登广告 |平台介绍 |关于我们 |豁免条款 |招聘信息 |隐私保护 |版权申明