
(一)发病原因
根据有无原发疾病,自发性气胸可分为原发性和继发性气胸两种类型。
诱发气胸的因素为剧烈运动,咳嗽,提重物或上臂高举,举重运动,用力解大便等。当剧烈咳嗽或用力解大便时,肺泡内压力升高,致使原有病损或缺陷的肺组织破裂引起气胸。使用人工呼吸器,若送气压力太高,就可能发生气胸。据统计,有50%~60%病例找不到明显诱因,有6%左右患者甚至在卧床休息时发病。
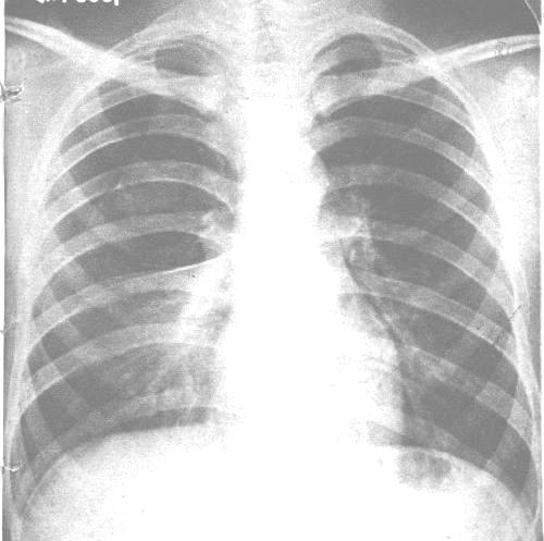
1.原发性气胸 又称特发性气胸。它是指肺部常规X线检查未能发现明显病变的健康者所发生的气胸,好发于青年人,特别是男性瘦长者。根据国外文献报道,这种气胸占自发性气胸首位,而国内则以继发性气胸为主。
本病发生原因和病理机制尚未十分明确。大多数学者认为由于胸膜下微小泡 (bleb)和肺大疱(bulla)的破裂所致。根据对特发性气胸患者肺大疱病理组织学检查发现,是以胸膜下非特异性炎症性瘢痕为基础,即细支气管周围非特异性炎症引起脏层胸膜和胸膜下的弹力纤维和胶原纤维增生而成瘢痕,可使邻近的肺泡壁弹性降低导致肺泡破裂,在胸膜下形成肺大疱。细支气管本身的非特异性炎症起着单向活瓣作用,从而使间质或肺泡产生气肿性改变而形成肺大疱。
某些学者认为肺组织的先天性发育不全是肺大疱形成的原因。即由于弹力纤维先天性发育不良,而弹性低下,肺泡壁扩张形成大泡而破裂。Marfan综合征(一种先天性遗传性结缔组织缺乏疾病)好发自发性气胸即是典型的例子。国外有家族性自发性气胸报道,宫氏报道725例自发性气胸中有11例家族史,木村报道同胞兄弟同时发生自发性气胸,可能意味着遗传因素的存在。
在本病的病因中,还有人提出“新膜理论”(neomembrane theory)、侧支通气障碍机制、大气污染学说等。
2.继发性气胸 其产生机制是在其他肺部疾病的基础上,形成肺大疱或直接损伤胸膜所致。常为慢性阻塞性肺气肿或炎症后纤维病灶(如矽肺、慢性肺结核、弥漫性肺间质纤维化、囊性肺纤维化等)的基础上,细支气管炎症狭窄、扭曲,产生活瓣机制而形成肺大疱。肿大的气肿泡因营养、循环障碍而退行性变性。在咳嗽、打喷嚏或肺内压增高时,导致肺大疱破裂引起气胸。吴氏等报道的179例自发性气胸病因中,慢性支气管炎并发肺气肿者占首位(38.5%),其次为肺结核占17.3%,特发性气胸为13.4%(第3位)、金黄色葡萄球菌性肺炎为12.3%(第4位),余者为其他原因。
金黄色葡萄球菌、厌氧菌或革兰阴性杆菌等引起的化脓性肺炎、肺脓肿病灶破裂到胸腔,产生脓气胸。真菌或寄生虫等微生物感染胸膜、肺,浸润或穿破脏层胸膜引起气胸。支气管肺囊肿破裂等可并发气胸。此外,食管等邻近器官穿孔破入胸膜腔,应用正压人工通气,长时间使用糖皮质激素等也可引起气胸。
近年来某些疾病引起的继发性气胸逐渐被人们所注意:①肺癌,尤其是转移性肺癌,随着综合性治疗的进展,肺癌患者的生存期逐渐延长,继发于肺癌的气胸必将日渐增多;其发生率占肺癌者的4%(尤其多见于晚期小细胞性肺癌)。其产生原因是:肿瘤阻塞细支气管,导致局限性气肿;阻塞性肺炎进一步发展成肺化脓症,最后向胸腔破溃;肿瘤本身侵犯或破坏脏层胸膜。②结节病,主要为第3期阶段,气胸发生率为2%~4%。由于后期纤维化导致胸膜下大泡形成或因肉芽肿病变直接侵犯胸膜所致。③组织细胞增多症X:据报道其自发性气胸的发生率可达20%~43%,这与该病晚期发生明显的肺纤维化,最后导致“蜂窝肺”和形成肺大疱有关。④肺淋巴管平滑肌瘤病(LAM):据文献报道约有40%患者并发自发性气胸。Taylor报道32例LAM中,26例(81%)发生气胸。本病发生与体内雌激素变化有密切关系。由于支气管旁平滑肌增生可部分或完全阻塞气道,引起肺大疱、肺囊肿,最终导致破裂发生气胸。⑤艾滋病:引起自发性气胸的发生率为2%~5%。Coker等报道298例艾滋病中气胸发生率为4%。其发生机制可能为:该病易侵犯胸膜肺组织,且易并发卡氏肺囊虫肺炎,后者对肺和胸膜具有破坏作用,导致气胸;位于肺巨噬细胞上的人类免疫缺陷病毒(HIV)的直接细胞毒效应引起弹性蛋白酶释放,导致肺气肿,形成肺大疱。
3.特殊类型的气胸
(1)月经性气胸:即与月经周期有关的反复发作的气胸。本病于1958年首先由Maurer报道,并于1972年由Lillington正式命名为月经性气胸。其发生率仅占女性自发性气胸的0.9%,约占50岁以下女性气胸患者的5.6%。
其发生原因主要与肺、胸膜或横膈的子宫内膜异位(endometriosis)有关。确切的发病机制至今未明。但人们提出一些理论试图解释本病的发生机制:①胸腔内子宫内膜异位学说:其理由是气胸发作和月经周期密切有关;许多病例发现在胸腔内有子宫内膜异位;本病右侧多见且和胸腔内子宫内膜异位位置是一致的;发病年龄在两者也是相同的。因胸腔有子宫内膜异位的存在,细支气管内子宫内膜病灶在经期时充血、肿胀,使管腔部分阻塞而形成“活瓣”作用,致使远端局限性充气过度导致胸膜破裂。但是也有不能解释的现象:因本病而开胸手术的病例未发现子宫内膜异位病灶者约75%;胸部子宫内膜异位症的患者常有胸腔积液,月经性咯血,而月经性气胸并不伴有咯血和胸腔积液,因此子宫内膜异位引起的月经性气胸只代表部分气胸的病因。②膈肌通道裂孔学说:从膈肌的胚胎发育和解剖生理来看,气体自腹腔进入胸腔的途径为:膈肌的先天性缺陷,如Morgagni孔和Bochdalek孔等;膈肌上正常的食管、主动脉及下腔静脉裂孔;膈肌先天性破裂。如膈肌异位子宫内膜脱落后形成裂孔,Meigs’综合征及肺结核患者气腹治疗后出现的气胸已经证实胸腹腔之间存在通路。但在男性中没有见到单因隔肌缺陷而发生自发性气胸者。国外曾发现1例自发性气胸伴气腹者,并试图通过放射性核素显像法来证明其胸腹间有交通,但结果不支持。上述资料进一步证实了女性特定的发病机制。在月经期间因有不均匀的子宫收缩可能使空气进入宫腔,并经输卵管到达腹腔。此时恰逢闭塞膈肌小孔的异位子宫内膜组织脱落,膈肌通道临时开放,在胸腔负压吸引泵的作用下将气体从膈肌裂孔吸入胸膜腔而发病;而非月经期时因黏液栓子封闭宫颈,阻断气体由生殖道进入胸腔。这种理论可解释本病许多临床征象,如做诊断性人工气腹者可诱发气胸;作输卵管结扎或子宫切除后气胸可治愈。然而具有膈肌子宫内膜异位症和缺损者少见,仅占19%,且不少病例经手术阻断膈肌通道后仍有复发,因此不能单用本理论作全面合理的解释。③Kovarik等理论:认为盆腔内的子宫内膜组织可能通过膈肌缺损或血流、淋巴途径播散到肺胸膜下形成病灶,并在月经期脱落造成肺内气体外漏而产生气胸。日本学者报道1例经开胸探查未见膈肌异常,而在破裂的肺大疱周围发现了子宫内膜组织,更加支持了本理论。④前列腺素(主要为前列腺素F2a)水平升高与月经性气胸有关:前列腺素可调节肺血管和支气管平滑肌的舒缩功能。Rossi认为本病是患者在月经期间血中前列腺素
F2a水平上升,使支气管平滑肌收缩,气道内压力升高,促使肺泡及胸膜破裂形成气胸。且前列腺素F2a可引起子宫内膜坏死。但目前尚缺乏充足的证据。
(2)妊娠合并气胸:以生育期年轻女性为多。本病患者因每次妊娠而发生气胸。根据气胸出现的时间,可分为早期(妊娠3~5个月)和后期(妊娠8个月以上)两种。其发生机制尚不十分清楚。有人认为与肾上腺皮质激素水平的变化和胸廓顺应性改变有关。妊娠早期发生的气胸,有学者认为与肾上腺皮质激素水平下降有关(文献报道患者平时尿中17-羟类固醇含量为3.25μmol/24h(1.18mg/24h),而妊娠时则降至2.125μmol/24h(0.77mg/24h)。但也有认为妊娠时肾上腺皮质功能亢进,从而抑制了结缔组织损伤后的修复而引起。对于妊娠后期发生的自发性气胸,可能与胸廓顺应性低下而导致胸腔内压升高有关。
(3)老年人自发性气胸:60岁以上的人发生自发性气胸称为老年人自发性气胸。近年来,本病发病率有增高趋势。男性较女性多。大多数继发于慢性肺部疾患(约占90%以上),其中以慢性阻塞性肺部疾病占首位。发生机制尚不十分清楚,但可能在原有的慢性肺部疾病基础上,由于老年人全身组织和器官不断衰老,肺泡弹性降低,全身抵抗力减退,在一般的活动,甚至咳嗽、打喷嚏及屏气,大便时即可引起肺泡破裂导致气胸。
(二)发病机制
随着科学技术的发展,尤其是光学技术和微型摄像系统及高清晰度显像系统的进一步完善和进展,VATS(电视胸腔镜技术)在临床上得到广泛的应用。由于胸腔镜能彻底、仔细地检查整个肺表面病变,并可在高清晰度内镜和电视显示器下加以放大观察细微的肺胸膜病变。Vanderscheren根据胸腔镜下肺泡病变与胸膜粘连的情况,将自发性气胸在临床上分为4级:Ⅰ级为特发性气胸,内镜下观察肺组织无明显异常;Ⅱ级为气胸伴有脏层、壁层胸膜粘连;Ⅲ级为脏层胸膜下泡和直径<2cm的肺大疱;Ⅳ级有多个直径>2cm的肺大疱,本分级方法对指导选择合理的治疗方法有临床实用价值。如Ⅰ级特发性气胸,直接肉眼观察近乎正常外观,但在新近出现的高清晰度内镜和电视显示器加以放大观察可发现直径1~2mm的肺小疱,能通过内镜用激光或电刀直接凝固封闭,或加用滑石粉等诱导胸膜固定。Ⅱ级仍可用激光或电刀直接凝固,或用纤维蛋白胶封闭,但手术时必须分解粘连带。Ⅲ级可用激光直接凝固直径<2cm的肺大疱,但必须加用不同方式的胸膜固定术。Ⅳ级为多个巨型肺大疱,能承受开胸手术者,可进行单纯肺大疱切除术或肺楔状切除术。不能耐受开胸手术者,则经胸腔镜喷入滑石粉(或盐酸四环素等)作胸膜固定术。
有些学者根据肺大疱或合并自发性气胸患者作开胸手术及组织学检查,将肺大疱分成3型:Ⅰ型:为薄壁囊肿,与支气管几乎不相通,基本属于肺外性质,单腔、腔内无小梁,直径一般为数厘米,有时可达15~25cm,普通X线胸片上显而易见。并形成张力性大泡性肺气肿。对本型作手术切除大泡,治疗效果最好。Ⅱ型:大泡为中等直径大小,纤维化厚壁,位于肺实质深部,属于肺内大泡。大泡内被许多间隔分开。胸腔镜下仅可见其表面部分。一叶肺内可见数个Ⅱ型肺大疱。患者可无症状。X线胸片亦可无表现。但大泡破裂时即引起自发性气胸。破裂的大泡在胸腔镜下一般可窥见。Ⅲ型:为大的肺大疱,且不只存在于一个肺叶内,泡内具有多个小梁,并与支气管广泛交通。本型是弥漫性大泡性肺气肿最常见的原因,一旦破裂即形成自发性气胸,本型发病率和死亡率均高。
1980年Ohata等报道334例自发性气胸患者中253例行开胸手术,其中126例作了组织学光学显微镜检查,并在扫描电镜观察基础上将60例肺气肿大泡分成3种类型:Reid Ⅰ型、ReidⅡ型及巨大型肺大疱。Reid Ⅰ型特点是肺组织过度膨胀形成大泡,其颈部狭窄,与整个肺结构之间界限清楚;大泡部位胸膜变薄,表面间皮细胞分布稀疏,某些区域甚至完全缺乏,使胶原纤维暴露于外,并能见到数微米大小的小孔或裂隙。大泡基底壁扁平,由无定形物质组成,散在分布着卵圆形小孔。手术时用显微镜观察到小孔引起漏气,电镜检查发现小孔周围完全缺乏间皮细胞。在大泡内表面没有细胞物质,但代之波浪状胶原纤维束。ReidⅡ型特点是肺大疱较浅;颈部较宽,与整个肺组织之间分界不清。电镜检查显示大泡部位胸膜表面间皮细胞相对较完整,见到短的微绒毛。但仍然有区域无间皮细胞覆盖,如同Reid Ⅰ型大泡一样,变坏的肺泡暴露于大泡的腔中;肺泡结构相对正常,并可见到Cohn孔。巨大型大泡体积大,占据单侧胸腔的1/3以上,大泡壁变薄而呈半透明。电镜检查大泡表面几乎正常,且有正常大小的间皮细胞和厚而短的微绒毛及正常肺泡结构。因此,作者根据气胸病理学进一步阐明其发病机制,认为自发性气胸的形成并不一定要以大泡破裂为前提,而可能是由于胸膜间皮细胞稀少或完全缺乏(如Reid Ⅰ型),在肺内压增高的情况下,空气通过大泡壁的裂孔进入胸膜腔引起,强调胸膜间皮细胞在自发性气胸发生中起着重要作用。