home
潜伏在夜间的杀手养生课堂

良性淋巴细胞血管炎和肉芽肿病主要是由什么原因引起的

2013/4/23 [ ]

(一)发病原因

病因不明。

(二)发病机制

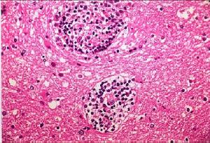
病理检查可见肺泡结构消失,其内有边界不清的肉芽肿,血管炎以血管为中心和侵入血管的细胞浸润性损害为主,浸润细胞有正常淋巴细胞、浆细胞、组织细胞、异形淋巴细胞样及浆细胞样细胞、网状内皮细胞,异形细胞的形态呈有丝分裂,与淋巴增生性疾病相同,偶见大的淋巴细胞。部分小血管可因淋巴细胞浸润后阻塞而引起肺局部栓塞和坏死,但此类情况很少见。

责任编辑:editor4
  • 养生

养生节目

进入>>

机构免费加入

热点问题

更多>>

居家养老:起步13年仍在摸索中

所谓居家养老,是立足家庭,依托社区,借助养老服务组织专业化服务,通过上门或日托照料形式,为老年人提供以助餐、助洁、助急、助浴、助行、助医等“六助”为主要内容的社区居家养老服务。 [详情]
居家养老:起步13年仍在摸索中

明星机构访谈

更多>>

明星养老机构访谈申请条件

明星机构访谈是针对热衷养老产业,对养老行业及其发展具备敏锐的洞察力和深入了解且具有一定影响力的养老领域资深人士进行采访交谈的专业平台。 [详情]
明星养老机构访谈申请条件

关于中华养老网

养老产业招商

城市产业招商

联系我们 |刊登广告 |平台介绍 |关于我们 |豁免条款 |招聘信息 |隐私保护 |版权申明