
(一)发病原因
病因不明。主要侵犯肺部,表现为坏死性肉芽肿和坏死性血管炎伴异形淋巴样细胞浸润,部分最后发展为淋巴瘤,有人认为是淋巴瘤的变形。从组织病理上看,本病既有血管炎改变,又有肉芽肿反应,这些改变符合变态反应。从而推测淋巴瘤样肉芽肿可能是一种伴有变态反应的肿瘤性疾病,伴有的变态反应可能是针对尚未证实的一种肿瘤抗原的抗原抗体反应。体内免疫反应失调或损伤性疾病,如肾移植、病毒性肝炎、干燥综合征及类风湿关节炎,常并发淋巴瘤样肉芽肿,这种相关作用及淋巴瘤样肉芽肿,与非典型性淋巴网状细胞浸润有一定的相似性。用慢性免疫抑制治疗某些先天性免疫缺损状态如Wishkott-Aldrich综合征、Louis-Bar综合征,偶尔也可并发淋巴瘤样肉芽肿。以上临床观察说明淋巴瘤样肉芽肿可能是一种继免疫失调或受损而发生的免疫增生性疾病,也有人考虑过自身免疫机制对淋巴瘤样肉芽肿的致病作用。另据部分患者存有T淋巴细胞功能不全,有肾移植后发生LYG的病例,以及LG和类风湿性关节炎或干燥综合征伴发,故考虑免疫异常和LYG的发生可能有关。
部分患者在病程中检出EB病毒感染的证据,嗜异性凝集试验阳性,故提示病毒可能参与其发病过程。此外,部分病例可发展为非霍奇金淋巴瘤中的血管中心性淋巴瘤(angiocentric lymphoma,AL),因此有作者认为LG是淋巴瘤前期阶段,甚至将全部LYG归入恶性淋巴瘤的少见特殊类型。
(二)发病机制
发病机制还不很清楚。有人认为是淋巴瘤的变形。表现为坏死性肉芽肿和坏死性血管炎伴异形淋巴样细胞浸润。就实验模型来说,慢性同种异体抗原刺激能激活宿主的慢性免疫活性细胞,并诱致非典型性淋巴增殖及淋巴样组织发生肿瘤。病毒对本病的发病可能起重要作用,它可通过改变宿主的膜抗原性而启动自身免疫反应,或通过致肿瘤病毒直接刺激网状内皮系统增生而造成非典型性或明显的淋巴网状细胞增殖。到目前为止,仍不能排除某些环境因素对本病的诱发作用。
抗原抗体反应、免疫失调、病毒感染和环境因素等,可能为单个因素,也可能为多种因素的综合作用,而导致本病的发生。
淋巴瘤样肉芽肿主要侵犯结外器官,累及的器官依次为肺(80%)、皮肤(40%~50%)、中枢神经系统(30%)、肝(25%)、肾、骨髓、眼等,而浅表淋巴结受累少见。
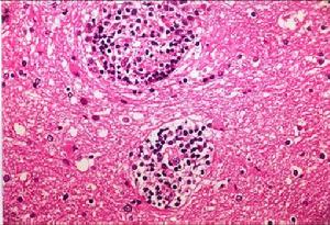
本病的病理特征表现为浸润细胞是由具有浆细胞样特征的非典型性淋巴网状细胞及少量中性粒细胞或嗜酸粒细胞组成的。非典型性淋巴网状细胞主要以成熟的淋巴细胞和浆细胞占优势,此类细胞比成熟淋巴细胞有较大的胞体和较多的细胞质,具有免疫母细胞的许多特征,常显示为有丝分裂相。本病血管炎性改变较明显,但并不一定同时具有几个系统的坏死性血管炎改变。有的有典型的白细胞破碎性或原发性纤维蛋白样坏死性血管炎,它是一种血管破坏性和血管营养性病变,主要累及中、小动脉和静脉。脉管病变是由非典型性淋巴网状细胞浸润所造成的,浸润细胞可使血管内皮隆起,血管内膜增厚,造成管腔狭窄,最后发生血栓性闭塞和广泛性血管坏死和血管重新形成。根据浸润细胞的类型及坏死范围可分为Ⅲ级,G1:主要由小淋巴、组织及浆细胞浸润,无不典型淋巴细胞及免疫母细胞,一般无坏死。G2:形态学介于G1和G3之间的过渡类型。G3:浸润细胞以非典型淋巴细胞为主,多形性的炎症背景常不明显,坏死较突出。G3又称血管中心性淋巴瘤。上述增生的淋巴细胞电镜及免疫学检测证实属外周T细胞,主要为T4,通常不能检出TCR基因重组。
本病出现的细胞浸润在组织学上表现为显著活跃增生,这就使病变具有了恶性变的特征。但它又与淋巴瘤不同,细胞浸润变化呈多样性,成熟与未成熟的淋巴样细胞常混合存在,可伴有广泛坏死性严重血管炎,甚至在距离浸润灶很远的部位也可见有坏死性血管炎,而浸润灶附近的淋巴组织却不受侵犯,这些都与淋巴瘤显著不同。然而,某些病例也可发展为免疫母细胞肉瘤或非典型性淋巴肉瘤,从而提示在本病与淋巴瘤之间可能存在一定的关系。
目前一致认为LG是一种独特的多形性细胞浸润形成的血管中心性淋巴瘤。PCR和原位杂交强烈提示EB病毒参与肺血管中心性淋巴瘤的发病。开始曾认为这些病变是周围T细胞淋巴瘤,因为免疫分型研究证实它是以表达T细胞相关抗原的不典型细胞为主。最近PCR和免疫组化证实有大的、不典型、EBV阳性B细胞单克隆亚群,提示很多LYG型血管中心性淋巴瘤实际上为EBV阳性B细胞淋巴瘤伴大量反应性T细胞。然而有些病变表现为周围T细胞淋巴瘤,这些肿瘤为EBV阴性。上述病理改变可累及气管、支气管、肺、脾、肾、脑及淋巴结。
肺脏常受侵犯,通常为多发性结节性浸润。病变大小不同。在梗死样坏死区偶有空洞形成,是本病肺部浸润的特征。有时病变也可为泛发性,同时伴有多发性肺脓肿,表现为一叶肺或一侧肺化脓性改变或破坏。Saldmm认为,本病发生的肺坏死与韦格内肉芽肿不同,前者主要是凝固性坏死,后者则为液化性坏死。某些病例尚可见到肺部机化性愈合区又发生完全性透明变性,还有些病例除有特征性血管向心性浸润外,尚可见有显著的成纤维细胞增生,但无非典型性淋巴网状细胞,并且坏死的程度也很轻。除广泛性血管炎和坏死外,常可见有由非典型性淋巴组织细胞浸润形成的肺实质肿块和结节。现已证明本病的某些组织学特征对预后有一定影响,在炎性浸润灶内,半数以上浸润细胞为非典型性淋巴网状细胞,提示预后不良。而浸润细胞主要为小淋巴细胞,或者浆细胞大于10%,预后较好。坏死的程度对预后无影响。
神经系统也是本病常见的受累部位。尸解发现脑膜、血管和脑实质有典型性且具有浆细胞样多形细胞广泛浸润,在广泛坏死区内可见有神经细胞丧失和白质碎裂,也可见有脑血管局灶性阻塞伴管壁坏死,管壁呈非典型性淋巴网状细胞浸润,血栓形成,管腔狭窄和动脉瘤形成。部分死亡病例尸解时尚可见脑和脊髓内有广泛性坏死区,可伴有免疫母细胞肉瘤,个别病例尸解时发现中脑和脑桥有广泛坏死,其脑组织由非典型性淋巴组织细胞所取代。
皮损的组织学所见与肺所见相似,可见到轻到重度皮肤血管中心性和血管破坏性血管炎及混合细胞性肉芽肿性浸润,也可见到不典型的淋巴网状细胞,但嗜酸细胞少见。可出现皮肤附属结构如汗腺和神经的继发炎症和破坏。深静脉一旦受累,则可因邻近脂肪组织坏死而导致脂膜炎。从超微结构上看,组织细胞增生表现出一定特点,包括细胞膜边缘波动、高尔基器发育良好以及胞浆内微丝、微管的聚集等。皮下组织受累时,典型改变为局灶性脂肪坏死,并伴有异物反应。
肾脏的组织学改变表现有典型淋巴网状细胞浸润性结节,这种改变类似梗死,并可见有坏死和血管炎,动、静脉闭塞,病变只见于肾实质,而肾小球无改变。肝脏的病理特征表现为在肝实质内可见有散在的局灶性浸润,大块坏死性病变,在坏死区内可见有大量胶原沉着,血管周围有致密的非典型淋巴组织细胞浸润等。