
(一)发病原因
虽然目前已将之归入特发性间质性肺炎(ⅡP)范畴,但由于其临床表现及病理表现与ARDS几乎一致,而其发病时又无明确病因,所以有人认为它的起发病与病毒急性感染密切相关,只是限于目前的检测技术尚无法测定病毒而已。病毒与ⅡP的关系一直是该病病因学研究的热点之一,其中研究最多的是腺病毒和EB病毒。
(二)发病机制
现在初步认为病毒在ⅡP发生、发展中所起的作用可能有如下3种情况:①由病毒感染的人体细胞所表达的病毒蛋白可以促进慢性炎症和修复过程,如EB病毒的隐性膜蛋白可以提高B-淋巴细胞的Ⅱ类抗原的表达;②病毒的感染可以激活肺泡上皮细胞的Ⅰ型胶原基因;③病毒基因是一种活化因子,它可以与DNA结合或接触,以调节RNA蛋白转录和修改细胞的生物特性。然而遗憾的是,这些研究结果均来自ⅡP的慢性类型;也许是由于病例数偏少的缘由,至今尚未有AIP与病毒关系的研究报告。
有研究报道,部分患者肺周边淋巴细胞、淋巴滤泡及浆细胞中有自身抗体,肺泡壁上有免疫复合物沉积。而诸如血沉,部分病人丙种球蛋白增高,抗核抗体滴度上升,类风湿因子、冷免疫球蛋白、狼疮细胞阳性,补体水平降低都表明该病可能与炎症免疫过程有关。也有报道称本病可能具有遗传因素。
AIP的急性肺损伤更倾向于一种大范围的肺实质性变化-急性呼吸功能衰竭的表现;它与其他ⅡP类型中所见的急性损伤-反复发生的多灶性损伤迥然不同。这种不同造成了两者在组织病理和临床表现上各具特色;并就此推测两者的发病机制亦有差别。虽然目前的研究已深入到蛋白甚至基因水平,人们已知诸如促炎症因子、抗炎症因子、金属蛋白酶及抑制因子和凋亡等在ⅡP中的相应作用,但AIP的确切发病机制目前尚不清。
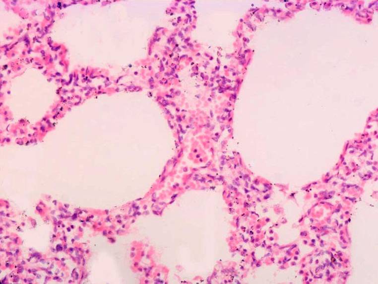
病理显示,肺大体标本呈暗红色,重量增加,外观饱满,质实变硬,触压不萎陷。肺切面为暗红色斑点与灰白色相间,并有交错分布的灰白纤维组织条索和小灶性瘢痕组织。光镜检查:早(渗出)期病变(肺损伤后约1周内)时,肺泡间隔因血管扩张、基质水肿和炎性细胞浸润而弥漫增厚,其中以淋巴细胞浸润为主,亦有浆细胞、单核(或巨噬)、中性和嗜酸粒细胞及少许成纤维细胞;肺泡上皮增生和化生形成柱状,加宽了肺泡间隔;肺泡腔内侧正常或有少许蛋白性物质及细胞渗出。此时的肺泡间隔相对较薄、肺泡结构尚正常,对治疗反应良好。随着病情的进展,血管内皮及肺泡上皮细胞受损、坏死和脱落;肺泡腔内形成均匀粉染的嗜酸性物质——透明膜。约2周时,DAD进入晚(增殖或机化)期,肺泡间隔出现广泛增生的成纤维细胞和肌纤维细胞,而胶原沉积却较少,这使得肺泡间隔明显增宽;毛细血管被纤维组织替代而数量减少;肺小动脉内膜增生、管壁增厚,有时在中小肺动脉内可见机化的栓子;肺泡因纤维化和闭锁而减少,残存的肺泡形状不规则、大小不一,或呈裂隙状或异常扩张。由于Ⅰ型肺泡上皮细胞的坏死,Ⅱ型上皮细胞增生、呈柱状或鞋钉样排列,衬于肺泡表面;这与UIP中有相当数量的细支气管上皮细胞参与分布于肺泡表面的情况有所不同。另外,呼吸性细支气管上皮可出现鳞状化生。数周后,蜂窝肺即可出现。
电镜检查:Ⅰ型肺泡上皮细胞丧失,局部乃至大面积的肺泡上皮细胞基底膜剥脱,Ⅱ型肺泡上皮细胞及毛细血管内皮细胞的胞浆水肿和坏死脱落。细胞碎片与纤维蛋白、红细胞及表面活性类物质的混合物沿肺泡表面分布,这尤其见于镜下的透明膜形成区。散在的炎性细胞,尤其是巨噬、淋巴和浆细胞存在于肺泡腔中;而间质中水肿的基质及不同数量的胶原和弹性纤维周围分布着大量成纤维细胞、少量炎症细胞及散在的原始实质细胞。进一步的研究发现,间质中大量成纤维细胞及少量胶原的存在并不是造成间质增厚的惟一原因。由于肺泡上皮细胞基底层的剥脱,使得大部分肺泡均有不同程度的塌陷。此种塌陷的另一特征是塌陷的肺泡部分中,有许多邻近的上皮细胞基底层相互重叠和对折。这种由二层基底层组成的结构以匍行的方式插入肺泡壁,在间隔内部形成深的裂隙。当Ⅱ型肺泡上皮细胞沿剥脱的基底层重新上皮化时,细胞并不深入裂隙之间,而是沿裂隙的两个外侧面覆盖。而若肺泡全部塌陷时,相互分离的肺泡间隔此时也会发生对折。Ⅱ型肺泡上皮细胞重新生长时,它并不是全部直接生长在脱落的基底层表面,有部分的上皮细胞与基底层之间存在有一层残留的炎症初期时的肺泡腔内渗出物。这两种现象的结果是,当Ⅱ型肺泡上皮细胞增殖重新覆盖脱落的上皮基底层时,细胞所覆盖的是塌陷部分,而不是沿完整的基底层重新呈线样排布和重新扩张肺泡;由于一层部分重叠的肺泡壁结合进了单一增厚的肺泡间隔,再加上部分区域肺泡腔内渗出物的“渗入间隔”,这就与其他因素一起造成了镜下所见的间质纤维化。